Iniciaste sesión como:
filler@godaddy.com

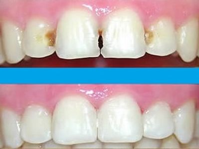
La Odontología General (Operatoria o Restauradora) es la encargada de solucionar los problemas primarios que tienen que ver con la boca, dientes y otras estructuras relacionadas. Representa en la mayoría de los casos el contacto inicial del paciente con el profesional de la Odontología.
El odontólogo por lo general realiza el diagnóstico primario del paciente, resuelve los problemas de restauración de caries que pueda presentar y lo canaliza adecuadamente a cada especialista de acuerdo a la necesidad del paciente. Tiene como fin, reconstruir la porción o parte de la pieza dentaria que fue dañada por la caries dental, devolviéndole la forma y función con materiales biocompatibles y resistentes que armonizan estéticamente con el remanente dentario.

Copyright © 2023 Clínica Dental Ultradens
Eleuterio Ramírez 684, Osorno.
